
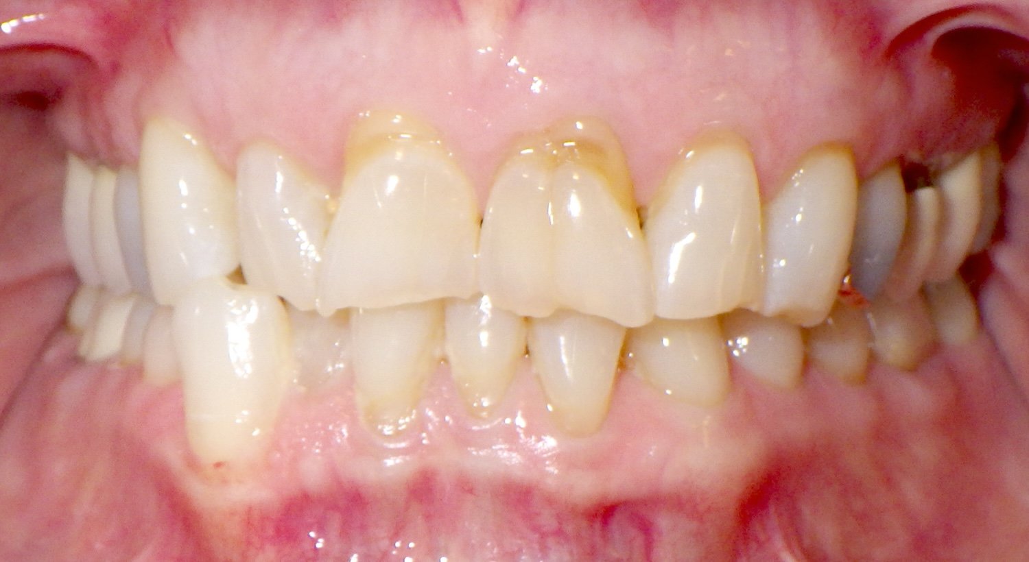
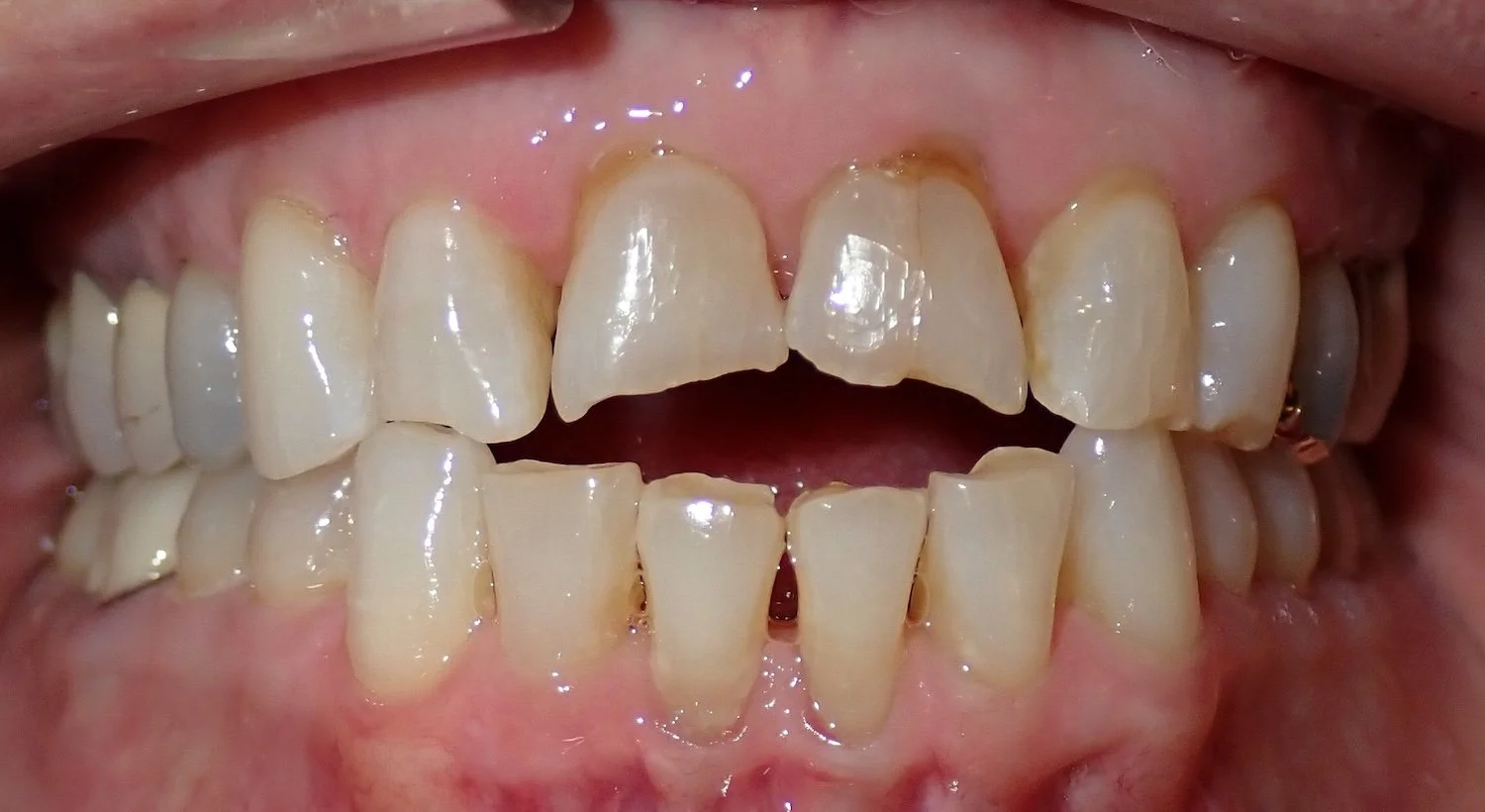
Collaborative Orthodontics

Your Path To A Smile You’ll Love
Rediscover your smile with Orthodontic Arts today. Our patients don’t just leave with straighter teeth, they leave with renewed confidence, vibrant energy, and smiles that light up every space they enter.